歯並び が ガタガタ の 方 が
コンプレックス を 持つ こと は
正しい 認識 と 正しい 感覚
だと 思います。
ただ
その 悩み の 解決方法 と して
患者さん が 速く 速く
と
急ぐ 気持ち
よ~く 判り ます。
そこで 最近
頻繁 に 耳に する 言葉
【セラミック矯正】❗
初めて 耳に した 時
なんじゃ そりゃ?
YouTube で 観たら
ガタガタ の 歯並び の 歯を 削って
セラミッククラウン修復
で
無理やり 歯並び
を
整える のだ そうなっ❗
誰が 考えた のか?
そもそも
歯並び が 悪い の には
【理由】が ある の です。
その 【原因】を 解決しないで
見た目 だけ 治すと
最初は
誤魔化し 利く かも しれません。
が
生体は そんな 簡単な モノ では ありません。
歯根 と 無理やり 正常に 見せかけた クラウン形態
の
間 には
大きな ギャップ が 生じます。
歯周組織 の 衛生上
また
生体力学的
に
大きな ストレスが 発生する の です。
歯並び の 不正に 対して は
あくまでも
矯正歯科治療 を しなけれ なりません。
ただ
矯正歯科治療は 歯の 位置は 変えられ ます
が
歯の 形態 は 変える ことが デキマセン
し
歯 と 歯肉 の 関係も
変える ことが デキマセン❗
ここに
矯正歯科治療 と 私の 総合歯科治療の コラボレーション
の
意義が あります。

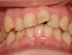
ガタガタ の歯並び の 女性です。
序でに
彼女は 【ガミースマイル】
笑う と 歯茎が 大きく 【露出】して
観える ん です。
先ずは
兵庫県川西市 畑矯正歯科 にて 矯正歯科治療。

歯並び は 綺麗に 整い ました❗️
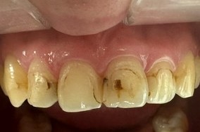
で
ココから が 私の 出番です。
ガミースマイル
と
虫歯
と
歯の 形態 の アンバランス
そして
せっかく 苦労して 受けた 矯正歯科治療
が
長持ち する 【噛み合わせ】
を
創る のが
私 の 仕事。

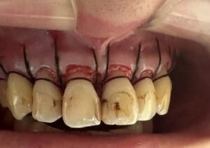
歯周外科手術 して
最終的に

これが 本格派 な 原理原則 に則った 歯科治療です。
