YouTube にて
どっか の 歯医者さん
が
ダイレクトボンディング修復に ついて
メチャクチャ
批判 して いました。
たかが プラスチック じゃないか❗
磨耗 したり 変色 する じゃん❗
YouTube の 出現にて
誰でも が
タレント の ように
好き勝手 言える 時代に なりました。
私は
その 歯科医師に 問いたい と 思いました。
君 の 云う ダイレクトボンディング修復
を
是非 是非 見せて 欲しい
と。
低偏差値 時代が 長く 続く 歯科界 です。
半世紀 の 変化 は 凄まじい❗
私らの 時代。
歯医者が 足らなかった の です。
歯学部は 理系の エースでした。
今では
自分の 出身校 の 偏差値
子供にも
恥ずかしくて 見せられ ません。
低偏差値 で コンビニより 多い
と
誰でも が 知っている 歯科事情。
だから
患者さん からも 警戒 される ので しょう❗
歯科理工学的 歯科保存学的に おいて
【虫歯治療】 に おいて
ダイレクトボンディング修復 が ベスト だと 確信して います。
ただ
この ダイレクトボンディング修復
歯科医師 の 手先の 【器用 不器用】 に よって
全く 結果が 違います。
そもそも
歯科医師を 希望して 歯学部に 入学する ならば
手先が 器用である こと
を
自覚すべき です。

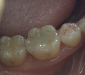
この 奥歯も 歯医者さん が 治療した モノ です。
こんな 虫歯治療 して 欲しい 人は いません。

ラバーダム防湿 環境下 にて
虫歯検知液 で 虫歯の 取り残し が 無い こと
キチン と 確認した
【無菌的治療】を 徹底して

材料を 操作しながら
歯 の 彫刻する 際に
呼吸 唾液 など から 素材を 護る
モイスチャー コントロールを 徹底 する 治療手順。
削った ところ と 詰め物
が
隙間 無く
ピッタリ 接着する
ダイレクトボンディング修復 は とても 良い 治療です。
