日別アーカイブ: 2026年3月12日

【工夫】を 凝らした クラウン修復

もう 10年は 治療終了した 40代 女性です。

 

 

前歯 6本

オールセラミッククラウン修復 してます。

歯茎 も シッカリ してます。

 

 

歯肉が オールセラミッククラウン修復を 受け入れて くれて います。

 

 

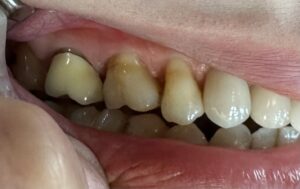
対して

 

 

この

患者さん の 奥歯。

 

 

年齢相応 に 【歯肉退縮】が 始まりました。

 

 

歯 と 歯 の【間】に 大きな スペースが 開いて きました。

 

 

ちなみに

この患者さん は 歯科衛生上さん です。

 

 

治療終了後 10年 以上 経って

 

 

ヤッパリ 先生に 治療して 貰って 良かった❗

 

 

オールセラミッククラウン修復 の 際

ただ

歯を 削って

歯科技工士さん に 造って 貰って

だけでは

歯茎は ドンドン

腫れたり

黒ずんだり

退縮したり

何が 起こるのか?

判りません。

 

 

クラウンも 人工物 ですから

生体に とっては 【異物】なの です。

 

 

【異物】を 受け入れる 【工夫】 と 【手当て】

クラウン修復 にも 必須です。

インプラント治療と 同じ 概念が 必要なの です。

 

 

歯科衛生上さん から 得た 【信頼】は 大きい の です。

 

 

なぜなら

歯科衛生上さん の ネットワークって 広く 大きい から です。

 

だから

患者さん も 増える ん ですよ❗