日別アーカイブ: 2026年1月15日

チーム歯科治療 の 実際

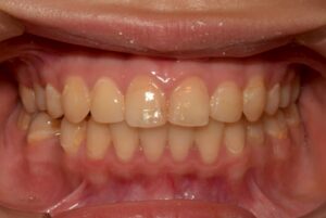
19歳 の お嬢さん です。

 

 

兵庫県川西市 畑矯正歯科 にて

歯科矯正治療が 終了 しました。

 

 

素直な お嬢さん です

チョッと だけ

反抗期 なの かなっ?

付き添い の お母様 には

チョッと

キツイ 口調で

逆に

可愛らしい の です。

 

 

クアラルンプール生活 が 長かった 彼女。

日本での 生活と 受験に 向けて

四苦八苦 して いる

のが

伝わり ます。

 

 

ストレス かなっ?

このまま では 【虫歯だらけ】 に!

 

 

私 の 話し は 素直に 聞いて くれます。

 

 

今から

プラークコントロール の 重要性

歯科衛生士さん たち に

情熱で

彼女に 取得して もらわねければ なりません!

 

 

畑矯正歯科 での 次 の ステップは

彼女 への 【動機つけ】 に あります!

ノリミちゃん

責任重大 です!

 

 

実は

彼女の 歯科矯正治療 は

原宿デンタルオフィス の 山崎長郎先生 から 依頼され

 

 

畑先生

彼女 の 歯並び 診て

何度も お断り し

 

 

山崎長郎先生 も 畑先生 に

頼むよぉ〜!

助けて くれよぉ〜!

 

 

そんな 経緯 が あった の です。

 

 

原宿デンタルオフィス の 山崎長郎先生

と 云えば

【天下の】 と いう 枕詞が つく

歯科界 の ジャイアント スーパースター です。

 

 

私も 若い頃

山崎先生 から

アメリカンクラブ に 連れてって いただき

ハンバーガー 食らいつき ながら

よもやま話 聴かして いただいたり

電話 や お会い したり

レイモンド.キム ファミリー の 親分 子分

と して

随分

可愛がって いただき ました。

 

 

ただ

難しい 症例 です ので

 

 

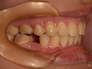
上顎 は 完璧 なん です

下顎 に 少し 【スペース】が 生じました。

 

 

 

 

畑矯正歯科 に 今 三枝が いるから

ソコは

インプラント で

と云う 話し に なりました よう で。

 

 

ですが

 

 

私は インプラント治療は 固辞 しました。

なぜなら

 

 

ご覧 の 通り

スペース が 狭すぎる の です。

 

 

決して インプラント治療が デキない 訳では ありません。

ただ

完成した クラウン修復 は 【違和感】 ある くらい

小さな 【歯】に なって しまいます。

 

 

彼女

美人 なん です。

 

 

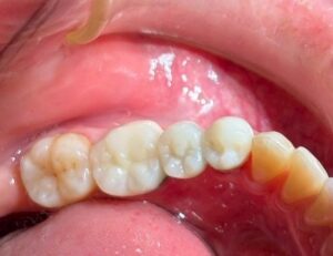
私は ブリッジ修復 を 選択しました。

歯科技工 は モチロン  石三くん です。

 

 

違和感ない 形態で 仮歯を 創って くれました。

 

 

ココから が 私 の 出番です。

 

 

基本通り の プレパレーションが デキました。

赤い 部分は グラスアイオノマーセメント です。

 

 

裏層 に 私は

コンポジット レジン は 使いません。

また

裏層部分 は 歯冠色 に しません。

 

 

理由 ですか?

 

 

私 と 畑先生 の セミナーで 聴いて くださいね!

 

 

 

 

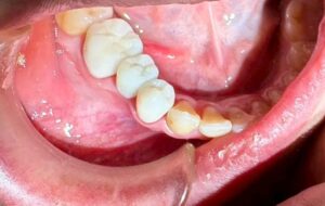
ブリッジ修復 の 仮歯を 装着 しました。

 

 

この 症例 は 別の 問題点が あります。

 

 

歯肉退縮 が 絶対に 生じます。

 

 

次は

歯周外科手術 で 歯肉退縮に 対応します。

 

 

畑矯正歯科での 修復治療  第1号 です!

 

 

アシスタント は ノリミちゃん。

 

 

治療中

私は ノリミちゃん の 存在に 全く 気づきません でした。

 

 

アシスタント の 存在

治療中

気づく のは

アシスタントが 下手なん です。

 

 

治療に 集中デキル よう

黒子に 徹して

気遣い デキる のが 優秀な アシスタント。

 

 

後から

サっちゃん が 撮影した コノ写真 観て

【ナルホド!】

思った の です。

 

 

判り ますぅ~?

 

 

判らない 歯科医師は 不幸な 方。

観る眼 ある プロなら

必ず

判る 筈 です。

 

 

そんな 優秀な ノリミちゃん の おかげ で

【集中】 デキました!

 

 

でも

歯科治療では 優秀な 彼女

普段は

こういう キャラクター。

年齢は あえて 申しません。

 

 

でも

チーム歯科治療 って こういう の です よっ!