
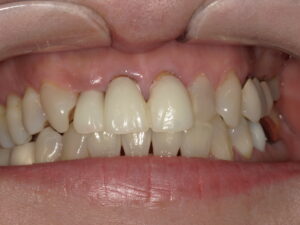
感染根管治療 が 終わって
仮歯を 装着した
上顎の 前歯 2本。
この ままの 状態で
歯型 採って
クラウン修復 したら
確実に
歯根破折 するか 黒ずんだ歯茎 に なるのは 必須!
仮歯 外します
と

ご覧 の 通り。
ほぼ 歯根のみ 歯肉から 露出して います。
この 状態で
ファイバーポスト修復 しても
破折防止対策 には なりません。
逆に
ファイバーポスト が 【楔】の ように
歯根 に 対して
折れる 効果を 発揮 します。
ソコで

歯肉を 剥離して

歯槽骨 を 整形し


臨床歯冠延長手術。
スッカリ 歯が 露出して いる でしょう?
ソコから
ファイバーポスト修復 を 行います。

このような 下準備 する こと
で
クラウンは 歯を 全周から 包みこむ
ので
歯根 に 強い 応力は 掛かり ません。
また
歯肉溝 を 1ミリ に 外科的に 創りあげる こと
で
歯肉 の 炎症を 抑制 できる の です。
ただ単 に
セラミッククラウンを 造って 入れて って 歯科治療。
私は しません。
患者さん が 大切だから!





