多分
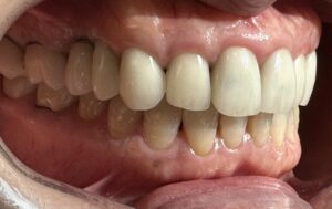
2013年 に 畑矯正歯科で
矯正歯科治療を 開始 した 症例です。


矯正歯科治療 あと
通常は
2年間 近く 保定期間を 設けるのが 通常です。
が
私は 畑矯正歯科 での 症例において は
保定期間 を 設けません。
畑テクニック の 考え方を 識って いる から です。
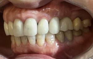
直ちに
【診断用ワックスアップ】 を 行い
【プロビジョナルレストレーション】を 装着します。
その 経過を 診て
最終修復 を 行います。
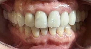
モチロン
クラウン の 連結は 行いません。
し
保定装置 も 使用 しません。
コレは 三枝テクニック と 言えます。
奥歯 の 咬合接触点 で
上下 の 歯は 微動だにしない しません から。

