2026年
明日 から 診療 です。
新らた なる 年
を
迎えて
更に
今年は
もっと もっと
工夫 し 考えて
上へ 上へ
と
精進 しよう!
そんな 気持ち が
精神を 高揚 させる ので しょう。
眠れ ない の です。
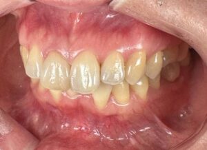
昨年 の 私 の 代表作 かも しれません。

全て セラミッククラウン修復 です。
モチロン
歯周外科手術は 行なって います。
家人 は 毎日
午前4時 起床。
早起き の 亭主を 持った 主婦
お気の毒 です。
(ただ、犬たち が 私を 主人だと 思って 家人 起こす の です)
家人 は
犬たち に ご飯を 食べさせて
お散歩。
私が 出勤する 際
専用車で
犬たち を 診療所 まで お送り。
(犬たち は 三枝デンタルオフィス の セラピー犬 ですから)
家人が 犬たち の 散歩中
私は
朝食 造り。
このような 平凡な 日々 が
明日 から
始まり ます。
今年の アポイントメント帳を 眺めて
グッと
ふんどし? 兜?
の
【お】 と 云って も
今時 の 方々 には 判らない でしょう!
つまり
【気合い】 を 入れる!
って
こと です!
それにしても 眠れない!
家人 の スヤスヤ と した 寝息
聴こえて います が。
ソレで イイん です。
男 は 戦う 生きもの ですから。
今年 も
【本当に 歯で 困った時 の 歯医者】 で 居よう!
