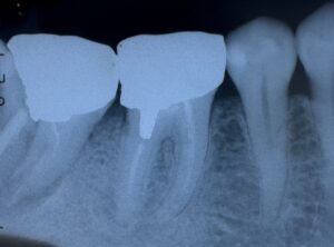
術前

第2大臼歯 は 歯根破折 して います
から
抜歯 しました。
第1大臼歯。
コレは 根管治療 と 歯内治療外科手術 が 必要 ですね!
近心根
特に
頬側側 の 根に 大きな トラブル が ある ようです。
1枚 の レントゲン がら
いろんな こと
読み取れ ます。

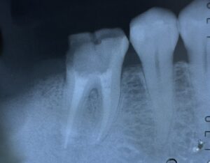
根管充填 後 の レントゲン所見 です。
マイクロスコープ が あります から
根管治療
随分と 楽に なりました。
近心頬側根管 は 根管充填 して ません。
亀裂が
ヤハリ
ありました。
次回
この 根管に ついては
外科手術 にて 対応 する 予定です。
