
歯根尖端 部分に 肉芽腫様 の 骨吸収像が 観えます。
根管治療が 終わって
2年 経過。

無菌的 根管治療を 行えば
ホラっ!
歯槽骨 回復して きました よっ!
最近
自称 根管治療専門医 なる 歯科医師が 増えました。
症例を 観て
? ? ?
新しい 治療方法を 採り入れて
ソレは ソレで 大切な 姿勢 だと 思います。
が
採り入れる こと と
治せる こと とは 大違い。
基本に 忠実である こと こそ
医療 の 原点だと。

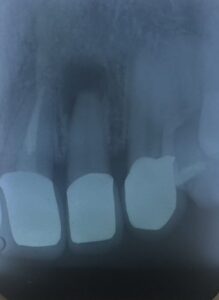
歯根尖端 部分に 肉芽腫様 の 骨吸収像が 観えます。
根管治療が 終わって
2年 経過。

無菌的 根管治療を 行えば
ホラっ!
歯槽骨 回復して きました よっ!
最近
自称 根管治療専門医 なる 歯科医師が 増えました。
症例を 観て
? ? ?
新しい 治療方法を 採り入れて
ソレは ソレで 大切な 姿勢 だと 思います。
が
採り入れる こと と
治せる こと とは 大違い。
基本に 忠実である こと こそ
医療 の 原点だと。