日別アーカイブ: 2026年2月25日

三枝デンタルオフィス の 根管治療

根管治療 って

ラバーダム防湿 して

マイクロスコープ

大拡大 視野 にて

行った から

云って

【成功】 する 訳では ありません。

 

 

ラバーダム防湿  マイクロスコープ

最低限 の 当たり前 な 普通な こと。

 

 

 

 

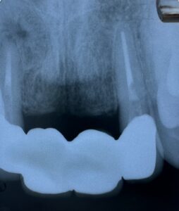
今時 珍しい 不完全な 根管充填。

 

 

歯根 の 先端に

大きな 膿疱 に よる

骨吸収 が 観られます。

 

 

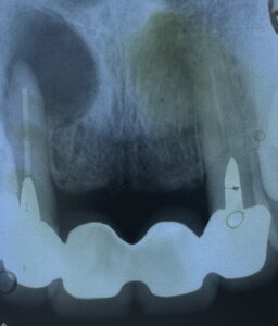
治療後 が 次の レントゲン写真。

若い 歯科医師が

この レントゲン写真を 観たら

根管充填剤 が 根管先端まで 入ってない じゃん❓️

 

 

お思いに なられる でしょうね。

 

でも

歯根膿疱

治って ますよ❗

 

 

レントゲン写真で 見える 歯根先端

生理学的根管先端 は

違い ます。

 

 

このような 症例に おいては

 

 

相当

長期間

歯根先端部分 が バクテリアに 曝されて いた 筈です。

 

 

生体には 【防御反応】が あります

から

バクテリア に たいして

歯根先端 の セメント質が 【肥厚】する

こと を

忘れては

なりません‼️

 

 

とにもかくにも

根管内を 徹底的に 【無人化】する こと。

 

加えて

【生理学的】根管先端 から

いかなる 異物 をも 逸出 させない こと‼️

 

私は 垂直加圧根管充填法 には 反対の 立場です。

 

 

また

 

 

根管治療 あと の 修復治療

鑑み

最近 流行り の ニッケルチタンファイル

の 使用

にも

絶対的な 反対の 立場です。

 

 

人体 に 【優しい】 治療が

人体本来 の 持つ 治癒力 を 沸き立たせる。

 

 

私 の 根管治療を 初めとする 歯科治療

生体 との 【調和】を 先ずは

最優先事項 だと 考えて 進めて います。