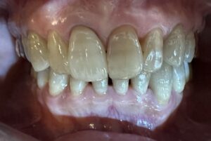
約17年 前 に
兵庫県川西市 畑矯正歯科 に 矯正歯科治療を
依頼し
その後
私が 修復治療 した 患者さん です。





必要最低限 しか
修復治療は 行なって おりません。
写真上 では
ソロソロ
前医 の 修復治療
やり直し した 方が 良い 歯も 出て きました。
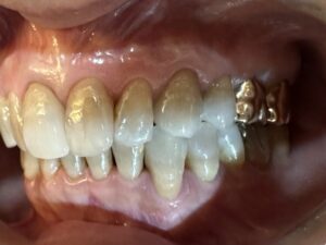
矯正歯科治療 は 歯を 動かせる 【動的治療】です。
動的治療 から 保定期間を 経て
【修復治療】 を 行い 【治療咬合】を 完成 させる のが
私 の 【仕事】です。
その あと
ある 一定期間 を 経て
【生理咬合】に 自然と 移行させる のが
私 の 腕の 【見せどころ】!
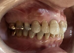
この 患者さん
どうやら 【生理咬合】に 入った よう です。

ゴールドクラウン修復 は 【形態変化】が 生じます。
セラミッククラウンは 適正な 形態で なければ
確実に 【割れます】!

小臼歯 の 詰め物。
前医 の 修復治療 です。
ソロソロ
ダイレクトボンディング修復 に 移行させる 時期が
来た よう です。
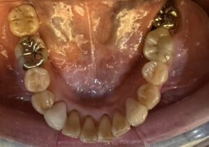
修復治療は 一度に 一気に 行なっては ならない 症例も
多々 あります。
その 見極め
すごく 大事 です。
ただ
矯正歯科治療 との コラボレーション症例。
矯正歯科医師 の 腕で ほぼ 決まります!
